-
订货电话
021-69583055 -
电话订货时间
周一至周五 9:00~17:00 -
电子邮件订货
2025037171@qq.com
上海岚派生物科技有限公司 > 产品类别 > 实验技术服务 > 细胞实验 >
细胞迁移
- 品名:
- 细胞迁移
- 货号:
- 英文:
- 英文缩写:
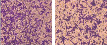
将Transwell小室放入培养板中,小室内称上室,培养板内称下室,上室内盛装上层培养液,下室内盛装下层培养液,
上下层培养液以聚碳酸酯膜相隔。将细胞种在上室内,由于聚碳酸酯膜有通透性,下层培养液中的成分可以影响到上室
内的细胞,从而可以研究下层培养液中的成分对细胞迁移运动等的影响。
实验步骤:
1. 37℃温育细胞培养试剂和Transwell
2. 收集对数期细胞,悬浮细胞,计数
3. 下室加含血清培养液,上室加细胞悬液培养
4. 甲醇固定
5. 结晶紫染色
6. 中性树脂封片
7. 统计结果
结果示意图:

服务周期:
| 服务内容 | 说明 | 价格∕元 | 实验周期 |
| 细胞迁移(Transwell法) | 建议3重复 | 100元/孔 | 3个工作日 |
温馨提醒:
1. 至少提供105细胞 2. 提供细胞相关信息





