-
订货电话
021-69583055 -
电话订货时间
周一至周五 9:00~17:00 -
电子邮件订货
2025037171@qq.com
上海岚派生物科技有限公司 > 产品类别 > 实验技术服务 > 细胞实验 >
细胞侵袭
- 品名:
- 细胞侵袭
- 货号:
- 英文:
- 英文缩写:
细胞侵袭
Matrigel是从小鼠EHS肉瘤中提取的基质成分,含有LN、IV型胶原、接触蛋白和肝素硫酸多糖,铺在无聚乙烯吡硌烷
酮的聚碳酸酯滤膜上,能在DMEM培养基中重建形成膜结构,这种膜结构与天然基质膜结构极为相似。滤膜孔径一般为
8μm,而且膜孔都被Matrigel覆盖,细胞不能自由穿过,必须分泌水解酶,并通过变形运动才能穿过这种铺有Martrigel
的滤膜,这与体内情况较为相似。可通过这种模型来检测细胞的侵袭情况。
通过体外模型来检测细胞的侵袭情况,主要应用于各种细胞因子对恶性肿瘤细胞侵袭和转移的影响及一些抑制血管生成
的新药研究。
实验步骤:
1. matrigel在4℃过夜融化
2. 稀释matrigel至终浓度1mg/ml
3. 在chamber上室底部中央垂直加入稀释后的matrigel。37℃温育4-5 h
4. 所有细胞培养试剂和Transwell chamber放在37℃恒温水浴箱温育
5. 消化培养至对数期的细胞,用无血清培养基悬浮细胞,计数,调整浓度为5*105/ml
6. 在下室加入含20%血清的培养基。上室加入细胞悬液,37 ℃、5%CO2、饱和湿度条件下继续培养24 h
7. 取出chamber,吸干上室液体,移到预先加入甲醇的孔中,室温固定30min
8. 取出chamber,吸干上室固定液,移到预先加入结晶紫染液的孔中,室温染色15-30min;用PBS冲洗浸泡数次,
取chamber,先用干棉签将上室内液体吸去,再用棉签轻轻擦Matrigel凝胶和聚碳酯膜上表面的细胞
9. 揭下膜表面上的细胞,晾干,封片
10. 显微镜下计数,统计结果;(若不用保存底膜,可省去步骤9)
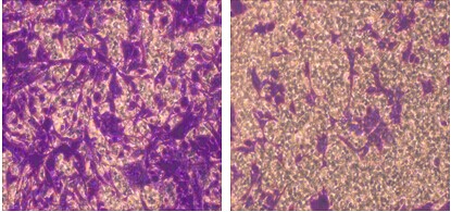
结果示意图:

服务周期:
温馨提醒:
1. 提供105细胞
2. 一块板共有24个小室,不足一块板按照一块板收费
Matrigel是从小鼠EHS肉瘤中提取的基质成分,含有LN、IV型胶原、接触蛋白和肝素硫酸多糖,铺在无聚乙烯吡硌烷
酮的聚碳酸酯滤膜上,能在DMEM培养基中重建形成膜结构,这种膜结构与天然基质膜结构极为相似。滤膜孔径一般为
8μm,而且膜孔都被Matrigel覆盖,细胞不能自由穿过,必须分泌水解酶,并通过变形运动才能穿过这种铺有Martrigel
的滤膜,这与体内情况较为相似。可通过这种模型来检测细胞的侵袭情况。
通过体外模型来检测细胞的侵袭情况,主要应用于各种细胞因子对恶性肿瘤细胞侵袭和转移的影响及一些抑制血管生成
的新药研究。
实验步骤:
1. matrigel在4℃过夜融化
2. 稀释matrigel至终浓度1mg/ml
3. 在chamber上室底部中央垂直加入稀释后的matrigel。37℃温育4-5 h
4. 所有细胞培养试剂和Transwell chamber放在37℃恒温水浴箱温育
5. 消化培养至对数期的细胞,用无血清培养基悬浮细胞,计数,调整浓度为5*105/ml
6. 在下室加入含20%血清的培养基。上室加入细胞悬液,37 ℃、5%CO2、饱和湿度条件下继续培养24 h
7. 取出chamber,吸干上室液体,移到预先加入甲醇的孔中,室温固定30min
8. 取出chamber,吸干上室固定液,移到预先加入结晶紫染液的孔中,室温染色15-30min;用PBS冲洗浸泡数次,
取chamber,先用干棉签将上室内液体吸去,再用棉签轻轻擦Matrigel凝胶和聚碳酯膜上表面的细胞
9. 揭下膜表面上的细胞,晾干,封片
10. 显微镜下计数,统计结果;(若不用保存底膜,可省去步骤9)
结果示意图:

服务周期:
| 服务内容 | 说明 | 价格∕元 | 实验周期 |
| 细胞侵袭 | 建议3重复 | /板 | 3个工作日 |
温馨提醒:
1. 提供105细胞
2. 一块板共有24个小室,不足一块板按照一块板收费





